DEXIS Sets a New Benchmark for Digital Dentistry with Advanced AI and Seamless Connectivity

– New AI Features and Multi-Site Sync Empower Clinicians to Save Time and Build Patient Trust. –

Quakertown, PA – February 11, 2026 – DEXIS™, a global leader in dental imaging, today introduced its most advanced update yet to the DTX Studio™ platform—bringing AI-driven diagnostics and multi-site connectivity designed to redefine workflows, accelerate decision making, and elevate patient care worldwide.

DTX pop out blocks


AI That Empowers Clinicians

The DTX Studio platform has long been recognized as a powerful imaging platform for modern dentistry, bringing together 2D X-rays, CBCT scans, intraoral images, and clinical photos into one intuitive interface. Today, more than 50,000 clinics worldwide rely on DEXIS imaging platforms, processing over half a billion images annually. In 2025 alone, DEXIS AI analyzed 120 million clinical findings, helping dental professionals deliver smarter, quicker care. With this latest evolution, DEXIS delivers its most advanced capabilities to date—built to help clinicians work faster, collaborate seamlessly, and communicate treatment plans with clarity. This update continues to build on our robust AI foundation—expanding capabilities for workflow automation, productivity, and treatment planning across both 2D and 3D imaging.

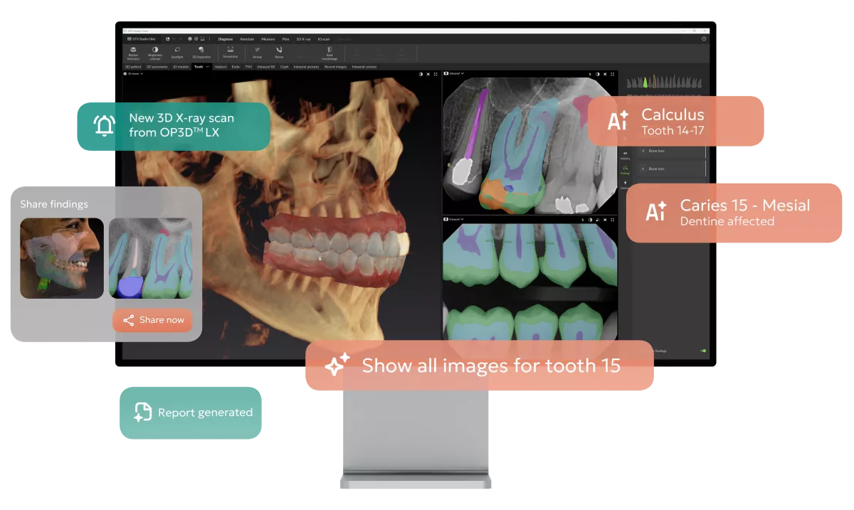
The latest DTX Studio Clinic v4.7 introduces intelligent indicators, automated treatment planning, and streamlined routine tasks—all powered by FDA-cleared AI. Clinicians can now instantly identify up to 15 diagnostic insights on 2D intraoral radiographs, including eight newly added restorative indicators such as crowns, bridges, and root canals. Full-mouth AI detection and layout are five times faster than previous versions, powered by the platform’s most advanced AI engine yet.

This same FDA-cleared AI module is now also integrated with DEXIS Imaging Suite v10, ensuring consistent diagnostic accuracy and efficiency across the DEXIS ecosystem.

Key enhancements include:

  • Expanded AI Indicators: Detect up to 14 diagnostic insights, including new detection of restorations for a complete view of radiographs.
  • Enhanced Caries Visualization: Clear tooth views for more precise planning and patient communication.
  • Bone Measurement: Measure alveolar bone levels and compare with previous exams, making periodontal changes easy to visualize.
  • Smart Grouping: Automatically organizes findings by tooth or arch to reveal patterns and reduce duplicates.
  • Customizable Views: Hide non-pathological changes and use color-coded layers for easier interpretation.
  • Advanced Planning: STL export for jaws and teeth, plus enhanced 3D panoramic and cephalometric imaging.
  • Workflow Enhancements: Faster PMS integration, smoother implant updates, and a cleaner, more intuitive UI.
  • Improved Lab Integration: Simplified case sharing for effortless collaboration.
  • Streamlined Setup: Easier onboarding and upgrade experience for clinics—no tech headaches.

Connectivity Without Limits: DTX Studio Go Sync

DEXIS also introduced DTX Studio Go Sync, a cloud-native solution designed for multi-location practices. Go Sync enables secure synchronization of patient records across all sites, ensuring seamless continuity of care and data safety. Clinicians can access imaging and diagnostic data from any location, supporting a truly connected care experience.

Expanded Partner Network

DEXIS continues to strengthen its ecosystem with new integrations:

  • CephX: AI-powered cephalometric analysis and direct upload for orthodontic cases—streamlining treatment planning and reducing turnaround times.
  • BeamReaders: Expert radiology review and fast CBCT case diagnosis for superior clinical confidence and collaboration.
  • Qlone: Advanced 3D face scanning, enabling precision in restorative and orthodontic workflows.

These integrations strengthen end-to-end workflows for clinicians and labs, enabling faster, more accurate care—all within an open platform.

“DEXIS is setting a new benchmark for digital dentistry,” said Robert Befidi, President at DEXIS. “Our mission is simple: to build intelligent solutions that empower clinicians to accelerate decision making, improve diagnostic confidence, and deliver care that patients can truly understand. This latest evolution brings FDA-cleared AI across our ecosystem—giving dental professionals powerful visual tools and seamless connectivity to labs and partners, so they can focus on the treatment story and the patient experience. It’s not just an upgrade; it’s proof that DEXIS leads the way in quality, innovation, and patient-focused solutions.”

To learn more about how DEXIS is shaping digital dentistry, visit DEXIS.com/DTX.

 

About DEXIS

DEXIS, part of the Envista family of brands, is a global leader in dental imaging, uniting the industry’s most trusted brands across 2D and 3D imaging, intraoral scanning, and diagnostic software within a single, connected, AI-powered ecosystem. Our innovative and award-winning technologies are designed with smart simplicity to streamline workflows, enhance diagnostic precision, increase productivity, and support better patient outcomes. By unifying imaging and diagnostic tools under one brand, DEXIS empowers dental professionals to diagnose with greater confidence and deliver more efficient care with one connected ecosystem - built on choice. To learn more, visit DEXIS.com. Follow us on LinkedIn, Facebook, Instagram, and TikTok.

 

DXIS01400 Rev00

Related articles