AI Diagnostics Module
For DEXIS Imaging Software

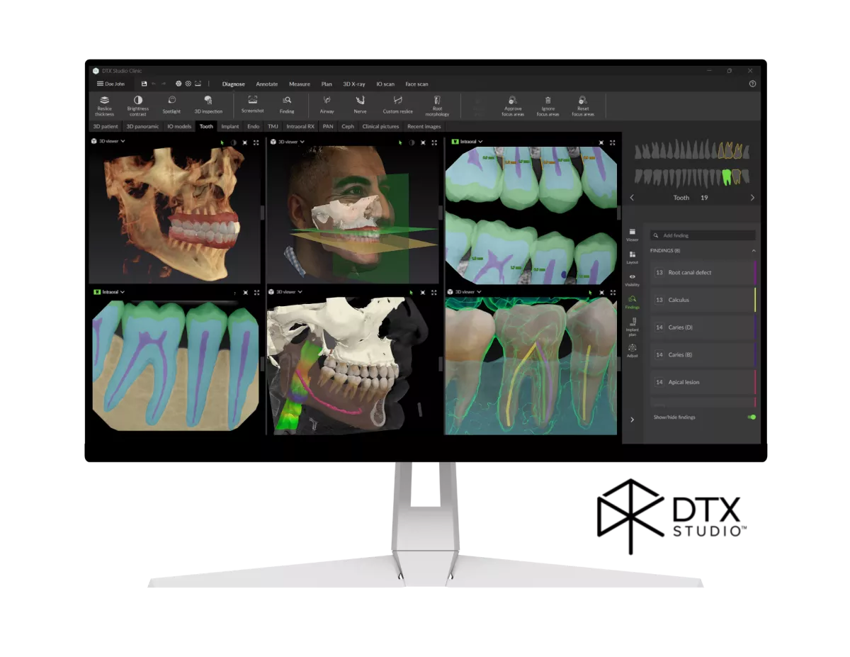
For DTX Studio Clinic

AI tool is available in DEXIS™ Imaging Suite through integration with DTX Studio™ Clinic, the AI Diagnostics module enables users to identify up to six dental findings on 2D x-ray images.
Caries

Periapical Radiolucency

Root Canal Filling Deficiency

Discrepancy at margin of existing restoration

Bone Loss

Calculus

See what your peers are saying
“DEXassist Solution, a 2D AI Dental findings tool that automatically identifies and labels six common dental findings like caries, calculus and bone loss, is one of those products my office can’t live without now. Evaluating radiographs with AI and highlighting potential clinical problems has added a new level of comfort for both me and my patients.”

Explore the AI technology in DEXIS.
DXIS01161 Rev 00

DEXIS are a trademark or registered trademark of Dental Imaging Technologies Corporation in the United States and/or other countries. DTX Studio is a trademark or registered trademark of Nobel Biocare Services AG in the United States and/or other countries. Products listed not available in all regions.